Docteur Nadine ASSAYAG Dentiste Esthétique Paris 16
Esthétique - Facette - Implant - Paris
Docteur Nadine ASSAYAG Dentiste Esthétique Paris 16
Esthétique - Facette - Implant - Paris

73 Avenue Paul Doumer
75016 Paris

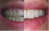
Galerie des sourires

avant et après

cas de réhabilitation du sourire par des facettes collées en céramique 

En savoir plus

avant et après

Cas du mois de novembre 2020 - BRUXISME: Grosses usures dentaires. Augmentation de l'occlusion.

EN SAVOIR PLUS

avant et après

Cas du mois de décembre 2019 - Usures très importantes des dents dûe au bruxisme

EN SAVOIR PLUS

avant et après

Cas du mois de novembre 2019 - Réhabilitation du sourire par des facettes collées en céramique

Grâce aux facettes en céramique, nous pouvons modifier la teinte, la forme et l'axe des dents, on peut aussi combler les espaces interdentaires.

EN SAVOIR PLUS

avant et après

Cas du mois d'octobre 2019 - Embellissement du sourire par des facettes céramiques

Cas du mois d'octobre 2019 - Embellissement du sourire par des facettes céramiques

EN SAVOIR PLUS

avant et après

Cas du mois de juillet 2019 - Transformation de canines en latérales

Cas du mois de juillet 2019 - Transformation de canines en latérales

EN SAVOIR PLUS

avant et après

Cas du mois de mai 2019 - Remplacement de couronnes anciennes

Notre patiente veut changer des couronnes posées 30 ans auparavant. Nous avons choisi de la céramique sans métal. Les dents de droite sur la photo son...

 

EN SAVOIR PLUS

avant et après

Cas du mois de février 2019 - Réfection de 6 facettes

Cas du mois de février 2019 - Réfection de 6 facettes

EN SAVOIR PLUS

avant et après

Cas du mois de décembre 2018 - Espaces interdentaires et facettes dentaires

Cas du mois de décembre 2018 - Espaces interdentaires et facettes dentaires

EN SAVOIR PLUS

avant et après

Cas du mois de novembre 2018 - Eclaircissement définitif des dents par des facettes en céramique

Cas du mois de novembre 2018 - Eclaircissement définitif des dents par des facettes en céramique

EN SAVOIR PLUS

avant et après

Cas du mois de septembre 2018 - Changer le sourire en 2 séances

Cas du mois de septembre 2018 - Changer le sourire en 2 séances

EN SAVOIR PLUS

avant et après

Cas du mois de juillet 2018 - Défauts de l'émail et facettes collées

Cas du mois de juillet 2018 - Défauts de l'émail et facettes collées

EN SAVOIR PLUS

Cas du mois de juin 2017 - Réhabilitation du sourire global.

Transformation du sourire après assainissement des traitements canalaires, des surfaces dentaires sous les composites.

EN SAVOIR PLUS

Cas du mois d'avril 2017 - Traiter le sourire en 2 séances seulement

Cas du mois d'avril 2017 - Traiter le sourire en 2 séances seulement

EN SAVOIR PLUS

Cas du mois de décembre 2016 - Polycaries et facettes

Cas du mois de décembre 2016 - Polycaries et facettes

EN SAVOIR PLUS

Cas du mois d'octobre 2016 - FACETTES ET TETRACYCLINES
 

Cas du mois d'octobre 2016 - FACETTES ET TETRACYCLINES

EN SAVOIR PLUS

Cas du mois de mai 2016 - Facettes et espaces interdentaires

Cas du mois de mai 2016 - Facettes et espaces interdentaires

EN SAVOIR PLUS

Cas du mois de mars 2016 - Facettes

Cas du mois de mars 2016 - Facettes

EN SAVOIR PLUS

Cas du mois de septembre - Recréer un sourire

Cas du mois de septembre - Recréer un sourire

EN SAVOIR PLUS

Cas du mois de juillet - Sarah veut sourire
 

Cas du mois de juillet - Sarah veut sourire

EN SAVOIR PLUS

Création par Webdentiste

Connexion