Docteur Nadine ASSAYAG Dentiste Esthétique Paris 16
Esthétique - Facette - Implant - Paris
Docteur Nadine ASSAYAG Dentiste Esthétique Paris 16
Esthétique - Facette - Implant - Paris

73 Avenue Paul Doumer
75016 Paris

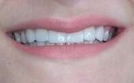
Cas du mois de juillet 2019 - Transformation de canines en latérales

Notre patiente, très jeune, est gênée par la présence de ses canines à la place de ses incisives latérales, absentes. Cette disposition dentaire lui crée des espaces interdentaires qui l'empêchent de sourire.


L'orthodontie ne peut pas régler ce problème parce que les espaces sont importants et qu'il faut modifier les volumes des canines par des facettes en céramique. En 2 séances, 6 facettes sont collées et l'harmonie du sourire retrouvée.

Avant
Après

Création par Webdentiste

Connexion