Cas du mois 2024
Blog
Cas du mois - Dents réduites par usure avec des facettes en céramique collées
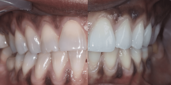
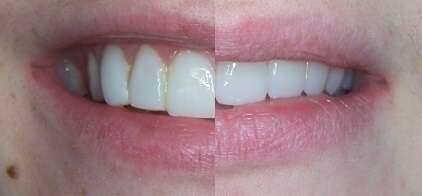
Cas du mois - Usures très importantes des dents dûe au bruxisme
cas de réhabilitation du sourire par des facettes collées en céramique
Grâce aux facettes en céramique, nous pouvons modifier la teinte, la forme et l'axe des dents, on peut aussi combler les espaces interdentaires.
Cas du mois - Embellissement du sourire par des facettes céramiques
Cas du mois - Transformation de canines en latérales
Notre patiente veut changer des couronnes posées 30 ans auparavant. Nous avons choisi de la céramique sans métal. Les dents de droite sur la photo sont des facettes collées. Il faut noter l'état assaini de la gencive qui ne saigne plus.
Cas du mois - Espaces interdentaires et facettes dentaires











